LHPV5a5 [FBbt_00049695]

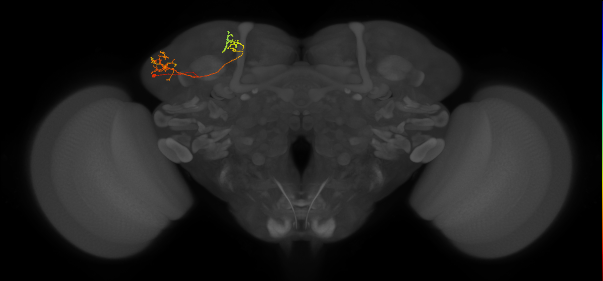
Adult lateral horn output neuron of the PV5a5 group that fasciculates with the PV5 primary neurite tract (Bates et al., 2020). It is a secondary neuron that is part of the CP3 (DL2) dorsal hemilineage (Bates et al., 2020). There are two of these cells per hemisphere and they are cholinergic (Bates et al., 2020; Schlegel et al., 2021).
LHPV5a5 LHPV5a5 LHPV5a5 LHPV5a5

LHPV5a5

ID: FBbt_00049695

Adult Cholinergic lineage DL2 CP3 secondary neuron

Adult lateral horn output neuron of the PV5a5 group that fasciculates with the PV5 primary neurite tract (Bates et al., 2020). It is a secondary neuron that is part of the CP3 (DL2) dorsal hemilineage (Bates et al., 2020). There are two of these cells per hemisphere and they are cholinergic (Bates et al., 2020; Schlegel et al., 2021).

Cell type found in both hemibrain and FAFB (Schlegel et al., 2021).

Open in VFB 3D Browser →
## Classification

Relationships

Alternative Names

Synonym Scope Reference
LHPV5a5 exact synonym Bates et al., 2020
adult LHPV5a5 neuron exact synonym Bates et al., 2020
LHPV5a5 exact synonym Schlegel et al., 2024
adult PV5a5 neuron exact synonym
LHPV5a5 exact synonym Bates et al., 2025
LHPV5a5 exact synonym Berg et al., 2025
adult posterior ventral tract 5 neuron a5 exact synonym Frechter et al., 2019
LHPV5a5 exact synonym Scheffer et al., 2020
LHON-I related synonym Bates et al., 2020
CB1907 exact synonym Schlegel et al., 2024
LHPV5a5 exact synonym

List all available images of LHPV5a5 (14 total)

Thumbnail Name Tags
LHPV5a5_L (MaleCNS:148334) secondary_neuron, lineage_DL2_CP3, Adult, Cholinergic
LHPV5a5_R secondary_neuron, Adult, lineage_DL2_CP3, Cholinergic
LHPV5a5_R secondary_neuron, Adult, lineage_DL2_CP3, Cholinergic
LHPV5a5_R secondary_neuron, Adult, lineage_DL2_CP3, Cholinergic
LHPV5a5_R secondary_neuron, Adult, lineage_DL2_CP3, Cholinergic

View all 14 results in VFB →

Downstream connectivity classes for LHPV5a5 (85 total)

Thumbnail Name Tags

View all 85 results in VFB →

Upstream connectivity classes for LHPV5a5 (63 total)

Thumbnail Name Tags

View all 63 results in VFB →